
Si Manis
Si Manis kita temuin patah kakinya di akhir tahun 2025 dan udah dua kali di operasi dan dipasang serta dibuka pen-nya di petsmiledoknyom.jkt.
Si manis sudah steril dan sudah vaksin. Sekarang dia masih recoveri di dalam rumah kita. Dan semakin membaik kondisinya.
Mudah-mudahan dalam waktu dekat dia bisa kembali nongkrong di luar

History sakit Si Manis di 2025.

Si Manis sebelum masuk klinik.

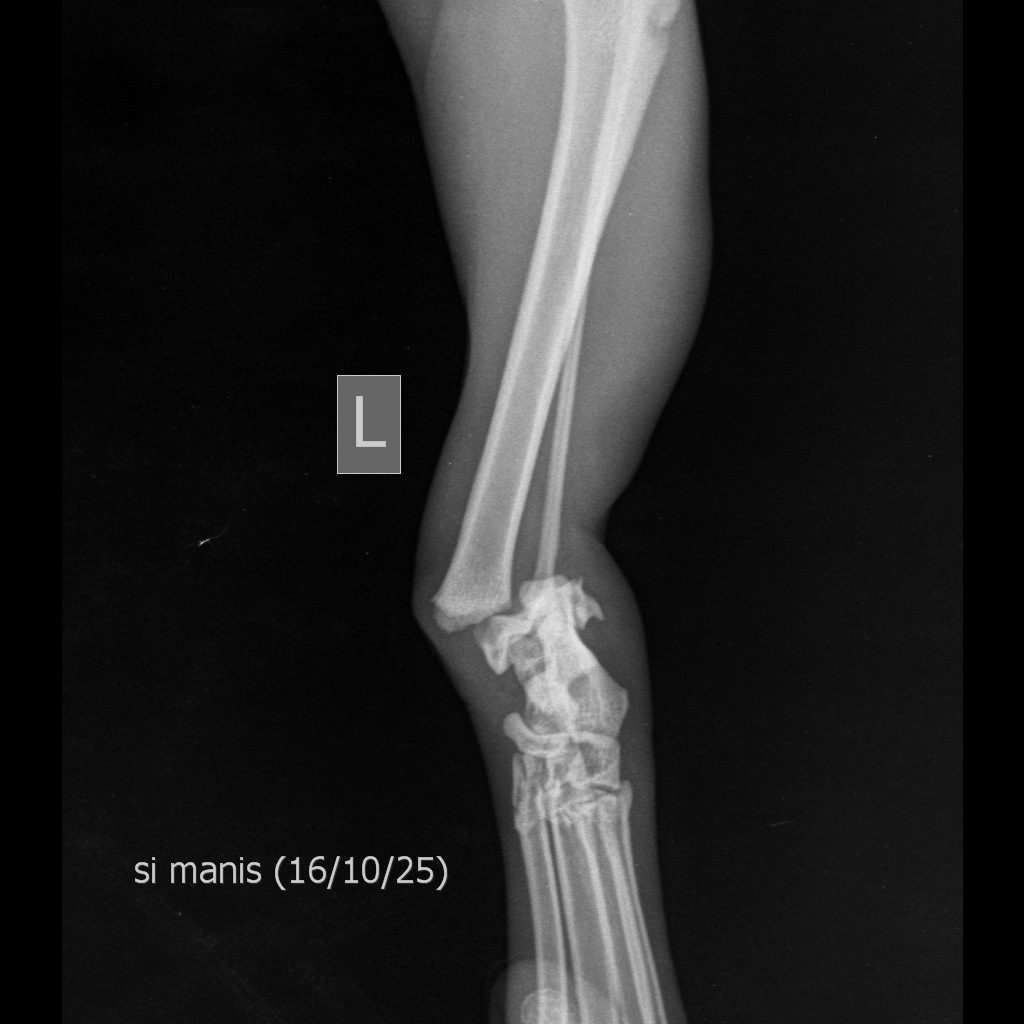
Si Manis kaki kirinya patah.

Si Manis X-ray patah kakinya.

Si manis dipasang pen.
Awal si Manis mulai jalan lagi.
